人能活多久「看牙齒」就知!醫生:壽命不長的人「牙齒會有3特徵」 做好三點:護牙保健康
之前端午節,王大媽正坐在家裡的小院裡,包著香噴噴的粽子。
她是個退休教師,平日裡就愛鼓搗點傳統手藝。

Advertisements
眼看著包了整整一下午的粽子,她忽然站起身來,卻發現腰直不起來了。
這個姿勢尷尬得讓她不由得倒吸了一口冷氣。
「這可咋辦?」她心裡嘀咕著,硬撐著一瘸一拐地走到客廳,坐下後給兒子小張打了個電話。
「小張啊,媽腰疼得厲害,快送我去醫院看看。」
小張聽了,趕緊把工作一推,火速趕回家,將王大媽送到了附近的醫院。
掛號、排隊、做檢查,折騰了一圈,醫生總算是看完了檢查報告。
醫生姓李,是個有點禿頂但笑容溫和的中年人,他皺著眉頭,推了推鼻樑上的眼鏡:「哎呀!你這個情況可不妙啊!」

Advertisements
王大媽聽得心頭一緊:「醫生,啥情況?我不就是腰疼嗎?」
李醫生嘆了口氣,神秘兮兮地問道:「您平時刷牙勤快不?」
王大媽一愣:「這……牙齒跟腰有啥關係?」
李醫生微微一笑:「您別急,聽我慢慢說。」
李醫生解釋道,現代醫學研究發現,牙齒的健康狀況和人的整體健康密切相關,甚至可以反映出一個人的壽命。
科學家們通過多年的研究,總結出了壽命不長的人,牙齒往往有三個明顯的特徵。
特徵一:牙齒脫落
首先,牙齒脫落是一個重要的信號。
李醫生拿出了一份資料,上面詳細記錄了牙齒脫落與壽命之間的關係。
「一項長達20年的研究顯示,牙齒在中年時期頻繁脫落的人,壽命通常較短。這是因為牙齒脫落往往伴隨著牙周疾病,而牙周疾病會導致慢性炎症,進而影響心臟健康。」
Advertisements

李醫生說,他曾經接診過一個叫老劉的病人。
老劉四十多歲就開始掉牙,到五十多歲時,牙齒基本所剩無幾。
結果沒多久,老劉就被查出患有嚴重的心血管疾病。
Advertisements
醫生們在給老劉做了詳細的檢查後發現,老劉的牙周疾病已經嚴重影響到了他的心臟健康。
這正是牙齒脫落與壽命縮短之間聯繫的一個生動例子。
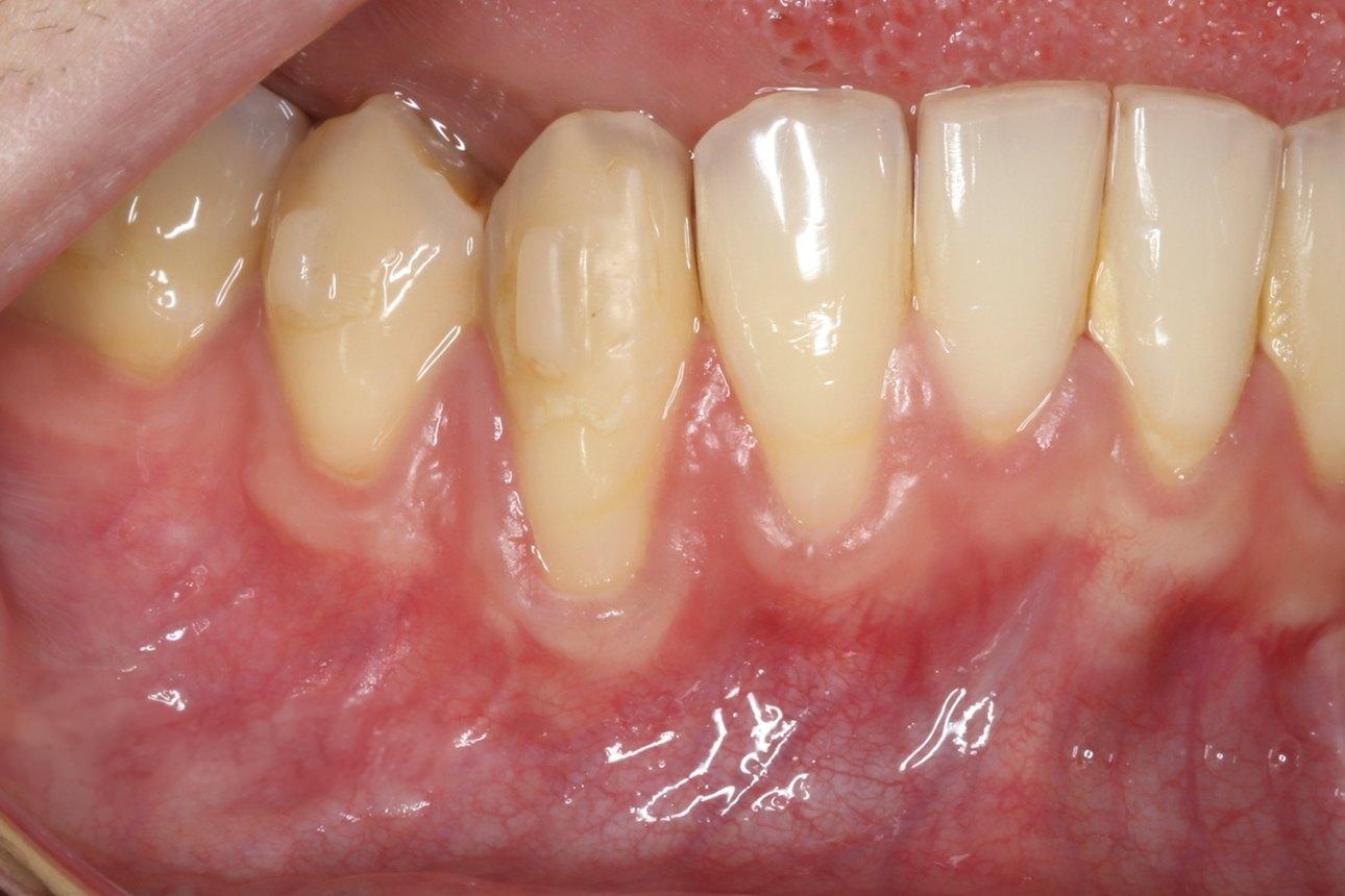
特徵二:牙齦萎縮
其次,牙齦萎縮也是一個危險信號。
牙齦萎縮不僅僅影響美觀,更重要的是它是牙周病的徵兆。
牙周病會導致牙槽骨吸收、牙齒鬆動,甚至脫落。
