換季整理衣櫃!女子「突高燒到40度」瘋狂咳嗽 緊急就醫「竟是肺部發霉了」醫生搖頭:忽略一細節
「全身不舒服,發熱,體溫最高到了40℃,還咳嗽……」
近日,浙江杭州一女子整理衣櫃後出現身體不適,到醫院就診後發現,竟是因肺部「發霉」引起的,這究竟是怎麼回事?
高燒40℃,肺部長滿菌斑
女子整理衣櫃後病倒
天氣漸暖,浙江杭州的沈女士趁著休息開始了「換季工程」。不料,整理完衣櫃後,她竟病倒了,於是沈女士立即前往醫院就診。
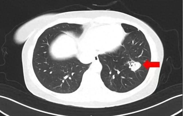
醫生通過問診了解到,沈女士在整理衣櫃時發現裡面長了霉斑,於是對衣櫃做了清理,但清理時沒戴口罩。為進一步確診病情,醫生為沈女士進行纖維支氣管鏡檢查及肺泡灌洗液病原體檢測,果然發現氣道壁上有大量白色菌斑,化驗後確認是曲霉菌。
經抗真菌及綜合支持治療後,目前,沈女士已康復出院。

Advertisements
曲霉菌是如何長進肺裡的
不慎吸入怎麼辦?
曲霉菌是一種真菌,被世界衛生組織列為1級致癌物質,其毒性是砒霜的66倍。它廣泛存在於自然界中,主要以枯死植物、動物排泄物及屍體為營養源。人體免疫系統受到攻擊或免疫力較弱時,曲霉菌就可能進入肺部,引起肺麴黴病。臨床上,肺麴黴病分為侵入性肺曲霉菌病、肺麴黴球、氣管支氣管麴黴病等類型。

Advertisements
一般有哪些常見症狀?
臨床上,肺曲霉病分為侵入性肺曲菌病、肺曲菌球、氣管支氣管曲菌病等類型,常見症狀包括:持續高熱不退,服用常規退燒藥難以奏效;咳嗽症狀加重,伴有胸痛、呼吸困難;痰液呈棕褐色或痰中帶血絲;出現鼻塞、流膿、面部疼痛等可能危及生命時導致呼吸衰竭。
不慎吸入,突發咳嗽、呼吸困難怎麼辦?
第一時間離開曲霉菌、粉塵較多的環境;
站位變坐位且前傾身體,此時膈肌會下移,呼吸道打開,肺容積增大;
使用腹式呼吸,並儘量緩解緊張情緒;
及時用藥並就醫,有支氣管氣喘病史者建議隨身攜帶急救藥物。

家中這些地方易生黴菌
如何做好防護?
黴菌感染和環境有一定關係,通風不良、潮濕的房間裡,很容易滋生黴菌。
尤其是牆角、窗檯、浴室、廚房水池灶台、廚具、餐具、調料、冰箱內部和密封條、洗衣機內部、空調、長時間不用的書籍和地毯等地方,都容易滋生黴菌。